北理工课题组在胰腺炎治疗药物的研究中取得重要进展
发布日期:2024-10-09 供稿:化学与化工学院 摄影:化学与化工学院
编辑:田柳 审核:王振华 阅读次数:
2024年10月5日,安博官方网站化学与化工学院医药分子科学与制剂工程工信部重点实验室梁建华教授课题组在胰腺炎治疗药物的研究中取得了重要进展。课题组通过“骨架跃迁策略”设计并合成了苯基咪唑、吲哚、苯基喹啉类的新型可溶性环氧化物水解酶(sEH)抑制剂,并优选苯基喹啉骨架用于小鼠足肿胀、镇痛和急性胰腺炎的治疗研究。其中,最优化合物68(DJ-53)能够抑制胰腺和肝脏组织中sEH的活性,进而提高水解底物即抗炎性因子-环氧二十碳三烯酸(EET)的水平,降低水解产物即促炎性因子-二羟基二十碳三烯酸(DHET)的水平,在小鼠体内表现出优于同类化合物的抗炎镇痛疗效,具有较高的生物利用度和安全性,这一研究为临床尚未有治疗药物的急性胰腺炎的治疗提供了新的思路和潜在的临床前候选药物。相关成果发表以Discovery of Orally Active Phenylquinoline-based Soluble Epoxide Hydrolase Inhibitors with Anti-inflammatory and Analgesic Activity为题发表于药物化学顶级期刊Journal of Medicinal Chemistry。(文章链接: https://pubs.acs.org/doi/10.1021/acs.jmedchem.4c01766 )。
急性胰腺炎是一种与胰腺外分泌组织损伤密切相关的炎症性疾病。临床数据显示,5.7%的胰腺癌是以急性胰腺炎为首发症状,有急性胰腺炎病史的,患有胰腺癌的风险增加7.2倍。其特点是发病突然、症状严重、预后不良。目前,临床上仍然缺乏针对胰腺炎的特效药物或疗法。已有研究表明,几种基于金刚烷骨架结构的sEH抑制剂能够减轻小鼠胰腺损伤,但这些药物仍面临诸多挑战,报道的优选化合物多数具有血药浓度低的缺点或者对CYP酶和hERG通道存在潜在抑制作用等缺陷。抑制CYP酶和hERG通道存在导致药物-药物相互作用以及心脏安全性等问题而增加临床使用的风险,另外抑制CYP2C酶还会抑制抗炎因子EET的生成。
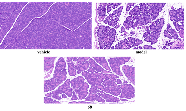
我们基于前期发现的二苯乙烯骨架化合物WS-82(Discovery of a novel lead characterized by a stilbene-extended scaffold against sepsis as soluble epoxide hydrolase inhibitors. European Journal of Medicinal Chemistry , 2024, 266, 116113. DOI:10.1016/j.ejmech.2023.116113),通过骨架跃迁优化策略,设计了多种以苯基喹啉、苯基吲哚和苯基苯并咪唑为核心框架的sEH抑制剂。与目前临床唯一在研的sEH抑制剂即临床候选药物EC5026相比,苯基喹啉类新骨架衍生物表现出更优异的效力。其中,一种新型苯基喹啉化合物68 (实验室编号DJ-53)通过抑制组织中的sEH酶活性,提升血浆和胰腺中EET/DHET比例,在足肿胀和醋酸扭体实验中显示出显著的抗炎和镇痛活性,其疗效不仅与上市的COX酶抑制剂-塞来昔布相当,还优于EC5026。此外,在急性胰腺炎模型中,化合物68能够有效减轻小鼠胰腺水肿和炎症浸润,并降低血浆中肿瘤坏死因子-α和白细胞介素-6等炎症介质的水平,抑制潜在的全身炎症风暴的发生,防止胰腺炎的恶化。

图1 68 (实验室编号DJ-53) 对急性胰腺炎小鼠的治疗效果
分子对接与动力学研究表明,化合物68位于sEH蛋白的活性口袋中,并与关键氨基酸Asp335、Tyr383和Tyr466形成了强烈的相互作用,从而稳定了sEH蛋白的结构。分子作用力分析结果强调了喹啉环和三氟甲氧基苄基脲基团对sEH抑制活性的重要贡献,这与新型苯基喹啉类sEH骨架的构效关系研究结果一致。

图2 化合物68(DJ-53)与sEH结合模式
苯基喹啉化合物68通过靶向sEH酶展现出快速起效、持续疗效及多重抗炎镇痛特性。此外,其良好的安全性和组织分布以及药代动力学特性进一步彰显了其在临床应用中的发展潜力。总之,基于苯基喹啉的化合物68的开发,标志着在针对sEH介导途径的新型治疗领域中迈出了重要一步,本研究已经申请专利,具有进一步临床开发的价值。
本研究受到科技创新2030-脑科学与类脑研究重大项目、国家自然科学基金面上项目资助。
附作者简介:
丁静,第一作者,安博官方网站化学与化工学院博士生。
梁建华,通讯作者,安博官方网站化学与化工学院教授,医药分子科学与制剂工程工信部重点实验室副主任,研究兴趣为重大疾病相关的新药创制;朱心红,国家杰青,琶洲实验室脑疾病与健康研究中心主任,研究兴趣为精神疾病发病机制和干预;于明加,安博官方网站化学与化工学院预聘助理教授,研究兴趣为药物的智能设计。
分享到:
